已关闭
收藏组织学是病理学的基础,病理学研究疾病状态中机体宏观与微观的结构变化,必须以正常机体的组织结构作为参照。组织学技术种类繁多,包括光镜技术、电镜技术、组织化学技术、图像分析技术、细胞培养技术和组织工程,每一类技术又含许多分支技术,有的操作程序十分复杂,有的所用仪器极其精密,其原理涉及物理、化学、生物化学、免疫学、分子生物学等学科的知识。在组织学的光镜技术中,石蜡切片技术是经典而最常用的技术。
石蜡切片的制作流程是固定、取材、脱水透明、包埋、切片、摊片烤片。通过将制备好的石蜡切片进行不同的染色可以清晰地观察到组织的形态结构。染色完成的石蜡切片可保存较长时间,方便后续进行观察。
百奥赛图病理平台拥有专业技术团队,以及完善的硬件设施,可支持不同部位组织石蜡切片的制备,染色。
石蜡切片的优点
石蜡制片技术制备的蜡块,在室温下可储存多年;
组织结构保存良好,组织结构清晰;
能够获得连续切片。
石蜡切片仪器展示

自动组织脱水机Leica ASP
300S处理量达300个样本

石蜡包埋机Leica HistoCore Arcadia C ,Leica HistoCore Arcadia H,
两台包埋机可容纳脱水处理的300个样本

轮转式切片机,烘片机,摊片机,Leica HistoCore AUTOCUT,
Leica HI1220, Leica HI1210
石蜡切片制作过程
01.固定
将取样的样本浸入固定液,常规的固定液为4%中性甲醛(10%中性福尔马林),固定时间不低于24小时。固定液量至少为被固定样本体积的5-10倍。
要点:对于较大的组织样本,先切成取材需要的大小后进行固定,以免脏器中心发生自溶。皮肤样本易皱缩,可以贴在牛皮纸上进行固定。根据病理学特殊检查的需要,可选用其它适宜固定液进行固定。

02.取材
将固定好的样本按照病理检查的目的要求切成适当的大小的组织块的过程,一般厚度为0.3cm。
要点:组织块厚度不宜超过0.5cm,以免后续脱水步不彻底而影响切片质量。

03.脱水透明
此步骤为仪器操作,选择需要的程序后进行组织样本的脱水。
原理:组织脱水是通过不同浓度梯度乙醇将组织内的水替换出去的过程,梯度浓度乙醇可以防止组织由于脱水发生巨大的形变。脱水的目的是为了下一步透明过程中二甲苯更好的浸入到组织中,因为苯类试剂无法与水相溶,而乙醇可以较好的和二甲苯互溶。在脱水时我们最终会使用两次无水乙醇进行脱水,目的是为了把组织中的水分完全去除,若将含有水分的组织放入二甲苯中则会形成水雾,影响切片质量。
要点:根据脱水机处理的样本量累计,达1000样本进行换液。对于骨组织,需先脱钙再进行脱水。
脱水流程:
70%乙醇( 60 min)→85%乙醇( 45 min )→95%乙醇( 45 min )→无水乙醇( 30 min )→无水乙醇( 25 min )
透明流程:
二甲苯(20 min) →二甲苯(30 min)
浸蜡流程:
蜡缸1(90 min) →蜡缸2 (90 min) →蜡缸3 (120 min)
04.包埋
组织样本经过浸透剂浸透, 将组织样本用包埋剂(通常为石蜡) 包被制成蜡块的过程。包埋时,根据样本大小选择三种规格的包埋模具进行包埋(图中所示为最小号模具样本类型为耳朵),组织的切面朝下,尽量处于模具中央。
要点:脱水透明后的组织较脆,避免按压力度过大导致组织碎裂。包埋完成的样本应避免在包埋机冷台放置过久,容易导致组织样本与蜡产生裂痕而影响切片。

05.切片
包埋后的组织块在切片机上切成薄片, 粘附在载玻片上的过程。切片时先粗修,使组织部位暴露出来,然后将粗修的蜡块进行预冷后开始进行切片。石蜡切片厚度一般为3~5μm。
要点:粗修时仔细观察,确保组织样本全部暴露出来;若刀片达到使用寿命或受损时,需及时更换新刀片,避免产生刀痕;切片时避免速度过慢与过快而造成切片厚薄不均。

06.摊片与烤片
将切好的组织切片放在摊片机上进行摊片,使组织切片摊平减少褶皱,摊片温度一般为37~49度左右;捞取组织后的玻片放在烘片机上烤片,烘片温度一般为40~60度,待切片完成后将切片一并放入37度恒温培养箱进一步烤片,至少放置3h。
要点:保持摊片机水的清洁,保持玻片干净,避免切片上有杂质;摊片机温度可根据组织样本特点设置温度,如脑组织低温进行摊片;烤片时间过短会导致染色时脱片。对于脑,脊髓,睾丸等组织摊片温度需要低一些,40度为宜。

石蜡切片的应用
烘片完成后的石蜡白片,可根据实验需求进行如下所示不同的染色,然后根据染色方法要求进行水性或者油性封片。
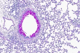
01.H&E染色

02.天狼星红染色

03.PAS染色

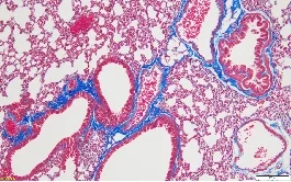
04.Masson染色

05.番红O染色

06.LFB染色

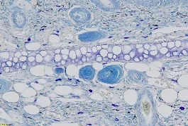
07.甲苯胺蓝染色

08.Tunel染色

09.免疫组化(IHC)染色

10.免疫荧光(IF&TSA)染色
